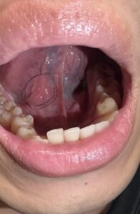
口内炎 お昼ご飯を食べたあと(13時半頃)に舌で口の中をぐるぐるしていたら、ポツっとした デキモノができているのに気づいて「ただの口内炎だろう」と思って鏡で見てみる と、赤黒い(ほぼ黒色の)血マメみたいなモノができていました。
黒丸印は口内炎でしょうか?それとも舌癌?でしょうか。 2026.02.18 毎日、痛くて、食事すらまともにとれません。 A.こんにちは、安原歯科医院の安原豊人です。 お写真拝見いたしました。 おそらく口内炎です。ご安心ください。 口内炎の塗り薬を処方してもらってこまめに塗布することをお勧めいたします。 ただしその後1週間たっても改善が認められなければ、 お近くの口腔外科を受診されることをお勧めいたします。 口腔外科専門医 安原豊人 歯や、あご、お口の中のことで、疑問がございましたら、何でもお気軽にご相談ください。 Tweet Share Hatena Pocket RSS feedly Pin it この記事のタイトルとURLをコピーする 数日前、みかんを食べている時に舌が痛いので鏡を見ると舌の側面が写真のように変化があるのに気づきました。 前の記事 舌の奥の方に赤いブツブツ(画像より広範囲です)と白いできものがあります。 次の記事