
痛みはほぼありません。
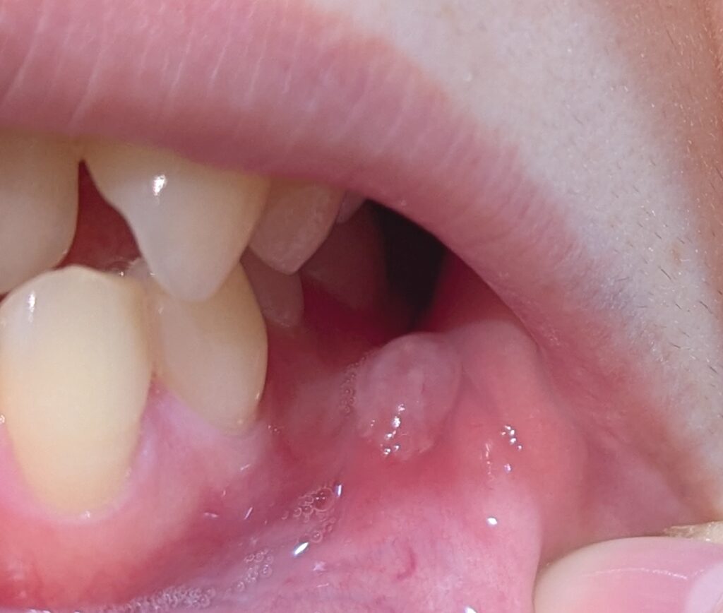
本日口腔外科の標榜のある歯科を受診したところ、唾液腺腫ではないかと言われました。
こちらの歯科では脂肪腫か線維腫かわからないことと、手術が出来ないことから知り合いの大学病院の先生を紹介頂く予定です。
本日の診察で先生が図鑑(?)のような本の写真を見ながら診断されたので少し「大丈夫かな」と心配です。
また「とりあえず潰しておこう」と仰り注射針を何度か刺したそうですが、中身があまり抜けなかったようです(この写真はその後の写真です)。
〇安原先生から見られて、やはり唾液腺腫とおもわれますでしょうか。
〇手術で除去するのが適切なのでしょうか。
よろしくお願い致します。
A.こんにちは、安原歯科医院の安原豊人です。
お写真拝見いたしました。
粘液嚢胞とお見受けいたします。
手術で切除してしまうことをお勧めいたします。
ご安心ください。